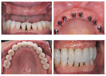
牙齿脱落是一件很麻烦的事情,对我们日常饮食生活造成很多不便,很多人选择做种植牙来恢复口腔功能,那么种植牙会有什么危害呢?为了打消很多患者的顾虑,今天就请杭州牙科医院的口腔专家给大家介绍。
一般种植牙需要多少钱?

种植牙会出现什么危害?
一、感染:多因手术区或手术器械污染以及其它并发症诱发感染,感染的来源无非就是两种情况:医生的操作不当、技术不娴熟和医院医疗设施落后,所以选择专业正规的口腔医院是关键。
二、牙龈增生:由于基台穿龈过少,或基台与桥架连接不良,造成局部卫生状况差,长期的慢性炎性刺激可致牙龈增生,医生的技术起着关键作者用,选择医生尤为重要。
种植牙的这些危害都容易发生吗?
三、伤口裂开:合过紧或过松,尤其在诱发感染的情况下,更易导致局部伤口裂开,应及时清创,再次缝合,避免种植体暴露,很显然跟医生的经验有关系。
四、下唇麻木:多因术中剥离时损伤颏神经或种植体植入时直接创伤所致,前者多可恢复,后者应去除该种植体,避开神经重新选位植入,技术较新,经验丰富的医生可以避免这种事情发生。
五、出血:因粘骨膜剥离损伤大或粘膜下剥离广泛,尤其是术后压迫不良,均易发生粘膜下或皮下出血,如一期手术种植体穿出下颌下缘时,也可发生颏下淤血。局部淤血一般可在数日后吸收,可在术后早期冷敷,晚期热敷,因全身因素,有出血倾向者,应对症处理,手术中出现这些现状均属于正常,不必担心。
种植牙出血是正常的吗?

杭州牙科医院新引进的即刻种植技术,利用3~4毫米的小切口,将人工牙根“种”入口腔内,摆脱了传统种植牙切开翻起牙肉、缝合、拆线等步骤,将创伤降低到最小程度,大大减少了肿痛和出血量。具有数字化精准预测定位、10分钟种植、堪比真牙、使用寿命长等特点,势必成为种植牙技术的新风向标。
专家推荐——杭州牙科医院口腔科主任顾莹

主任医师
杭州牙科医院院长
口腔临床医学博士
国内著名口腔专家
擅长:种植牙历史超过二十年,种植牙数量超万颗。
温馨提示:种植牙本身并无危害,种植牙造成的危害一般来自于医生的操作不当或医院的医疗设施不全,从而引起种植牙并发症,因此患者们一定要到正规、专业的医院做进行术前检查、设计手术方案等等,从而安全可靠的进行手术。如您还有任何疑问可在线咨询得到想要的答案或拨打免费健康热线:400-1580-520
本网站已加密,绝对保证您的隐私安全,就诊前
通过手机预约可免排队等候!