美容冠是现在很多年轻人比较喜爱的一种牙齿美容方法,美容冠能够让我们在较短的时间里拥有一口白皙整齐的好牙,很多人担心美容冠会对我们的身体造成伤害,杭州牙科医院医生称,专业的美容冠技术对牙齿和身体是无害的,选择选择一家正规的医院,同时选择一个具有丰富临床经验的美容冠认证医师。
牙齿有了问题怎么办?点击问问在线医生
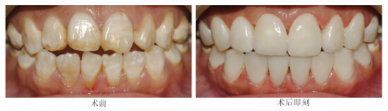
美容冠,2小时矫正成人难看牙
美容冠是目前欧美和日本最受欢迎的,美容冠是牙齿美容中的一种新型的技术,相对于烤瓷牙,美容冠是不伤害牙齿的一种牙齿美容修复技术。美容冠在不损伤牙齿、牙龈的前提下根据牙槽骨的形态对牙齿做修整。首先适度调整歪斜的牙齿,精细打磨凸出部位1-2毫米;然后在原牙外包以整齐洁白的美容冠,保护原牙,一口整齐亮白的牙齿,就大功告成了,且不着痕迹。
美容冠有着超高的耐压力度,完美的32个色阶对比,达到自然、漂亮、整齐的美牙效果。另外,由于“美容冠”方法不需要动及牙齿根部,大大减轻了患者的痛苦,整个治疗过程只要两小时,不戴牙套、不伤牙根,将美学与医学充分融合,达到个性化牙齿美容的效果。
有疑问点击咨询在线口腔科医生

美容冠特点主要可分为以下几方面:
第一,适用范围广。如个别牙不整齐,牙缝过宽、断牙、缺牙、四环素牙、牙釉质发育不全、畸形牙等的修复美容。
第二,所需时间短。一般只需7天,前后来医院两次就能完成牙齿美容,轻松拥有明星般皓齿。
第三,逼真耐用。美容冠牙齿美容颜色齐全,能根据患者本人的要求或周围牙的颜色进行比色与配色,做出来的牙齿色泽真实,自然,且耐磨,不变形。
在线询问美容冠矫正价格
温馨提示:求美者在选择医院、医生和美容方法应该非常慎重,切不可草率行事,应找正规的牙科医院,找值得信赖的医生充分咨询,必要时可与朋友、亲人交换意见后,认真考虑后再做决定。
杭州牙科医院美容冠的技术优势
杭州牙科医院创建于1975年,诞生于东北,成长与海南,根植壮大与浙江。历经40余年的风尚雨雪,至诚至信,以不懈奋斗,执着追求的开拓进取精神,在全国相继开设近20家口腔门诊和口腔专科医院。温馨舒适的诊疗环境深受专家的肯定和广大患者的好评!
点击了解更多
1.美观大方:“美容冠”牙齿美容技术采用最新数码科技,精确分析牙齿形态以及病症,结合3D数码定位系统,由专业的美容牙医制定美牙方案,形成后的牙齿美丽大方。
2.色泽逼真:采用德国VITA比色技术,根据就诊者不同的牙色,通过29个牙色层次化类比,使成形后的牙齿达到完美的色调统一,天然逼真,常年保持美丽天然的光泽。
3.安全无痛:采用无痛技术,美牙无需动及牙根,彻底解除您爱美又怕痛的顾虑。整个过程在轻松的音乐中完成。
4.牙齿坚固:“美容冠”比传统烤瓷牙更坚固,最新技术的粘贴技术,终生不脱落。据数据分析显示,经“美容冠”牙齿美白后,牙齿至少可以承受50公斤拉力。
5.高效快速:“美容冠”牙齿美容技术从检查、设计到牙齿美容,整个过程只需短短2小时,不戴牙套、不伤牙根,将美学与医学充分融合,达到个性化牙齿美容的效果。
在线询问美容冠矫正价格

量身定制模特级的黄金微笑比
“黄金微笑比”是目前国际上最流行的美学设计,它通过求美者的肤色、职业、唇色、以及牙齿比例、排列、牙弓弧度、颜色等为您打造模特级黄金微笑比例,让您的笑容更自信迷人!
本网站已加密,绝对保证您的隐私安全,就诊前
通过手机预约可免排队等候!