俗话说,貌美牙先行。如果一个人的牙齿不好看,一定会对自己的人生或多或少有影响。有越来越多的人们希望自己的牙齿洁白如玉。的确,洁白的牙齿会使人的仪表、气质增色不少。但是,如何针对自身的牙齿基础条件,如何选择恰当的方法得到较佳的效果。
做牙齿美白好不好,对身体有危害吗?杭州牙科医院口腔专家指出,牙齿美白没有危害,首先应该了解自身牙齿不够洁白的原因。在医学上,单纯的牙齿色黄、色暗等统称为牙齿着色。它一般分为外源性着色和内源性着色两种。

简单地说,外源性着色是指牙齿"外在染色",主要是由于食物色素着色、烟渍等造成。而内源性着色,则是由于在牙齿发育时期服用了某种垚物或饮用水质等原因导致牙齿颜色异常,常见的有四环素牙和氟斑牙。
牙齿美白的方法一般而言有两种治疗手段,修复治疗和漂白治疗。修复治疗的方法是要磨除一部分自然牙齿后,用人造材料覆盖在相应部位。

如各种贴面和瓷冠,其优点是牙色的改变明显,在某种程度上就医者可以选择满意颜色,但要面对磨除自然牙齿的必然性和伤及牙髓引起并发症的可能性。牙齿漂白治疗,是一种不必磨除自然牙齿而使牙齿改变颜色的治疗方法。
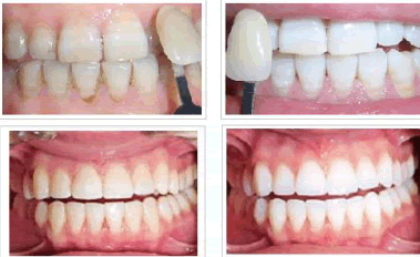
杭州牙科医院口腔领先科技,专注牙齿美白修复
BEYOND Polus新一代牙齿冷光美白通过特殊的高强度蓝光,有效催化含有感光催化剂的专利美白凝胶,经过特殊光学处理,将牙齿全面涂抹的昂贵、无害的美白材料进行全口一次照射,使美白剂快速产生作用,去除牙齿表面及深层附着的色素,从而达到美白的效果。
以上就是对"牙齿美白对牙齿有没有伤害"的讲述,由于这里条件有限,文章并不能解决您的所有疑问,所以您可以点击在线咨询,直接与杭州牙科医院口腔专家对话,会更仔细的为您讲解您所要知道的内容,期待你的咨询哦!
本网站已加密,绝对保证您的隐私安全,就诊前
通过手机预约可免排队等候!