龋齿俗称虫牙,蛀牙。其发生的过程是潜移默化的,由浅到深,由小到大,从无症状到疼痛难忍。如不及时治疗,最终可导致牙齿丧失。那么蛀牙怎么办?

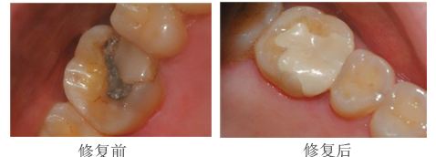
杭州牙科医院医师分析指出,传统治疗蛀牙的方法是补牙,就是把蛀的部分磨掉,然后补上材料,再进行抛光即可。虽然传统方法比较方便,但在操作过程中会受到口腔唾液以及医生在口腔内操作空间太小等一些客观的,并且很难避免的因素的影响,使得补上去的牙齿寿命不长,很可能引发脱落和继发龋。而且面积较大的龋坏和特别部位的龋坏进行补牙也不耐用。所以,牙医推出另外一种补牙新方法,称作嵌体修复。
嵌体修复——解救龋坏的牙齿
嵌体的优点就在于,它的制作过程避免了在口腔内部操作的干扰因素。这就使得嵌体的制作比传统的补牙要更精细。“嵌体”是为牙齿量身定做的修复体,通过黏合剂将其黏在有缺损的牙齿上,由于嵌体在形态、硬度等各方面与牙齿吻合度很好,所以90%的嵌体可以使用十年以上,这样不仅解决了牙齿缺失部分容易变大的难题,也减轻了患者频繁补牙的痛苦。

嵌体的整个制作过程比较严密,所以它可以很好的恢复原来牙齿的外形,恢复原来牙齿的咀嚼效率。
牙齿有问题就选杭州牙科医院
杭州牙科医院致力于为国人提供一流的国际性口腔服务,并在中国建立一个提供高品质服务的口腔医疗连锁机构。汇聚了一批医德优良、技术精湛、临床经验丰富的国家级知名医师、主任医师、教授和学者,拥有享誉国际、国内口腔医学领域顶尖技术的专业精英队伍,以精湛医术为患者排忧解难,解除疾病困扰,造福众多口腔患者。
本网站已加密,绝对保证您的隐私安全,就诊前
通过手机预约可免排队等候!