李先生今年26岁,被牙齿虐的不敢吃饭。“一吃饭牙齿就疼,而且不敢吃酸的、冰冷的,一碰牙齿就酸。”李先生告诉杭州牙科医院的医生。医生检查后,原来是因为李先生的牙齿太拥挤了,有的地方甚至长了2排牙。导致平时做牙齿清洁时不能完全刷干净,很多角落沉积了厚厚的牙菌斑,长期以往引起了蛀牙、炎症等口腔疾病,牙齿自然会疼。
经过杭州牙科医院医生的讲解 李先生当即决定做牙齿矫正
“一是因为牙齿拥挤很影响美观,而自己现在正打算交女朋友,形象还是很重要的。二是都已经引起了口腔疾病,解决这个问题确实迫在眉睫。三是父母也是一直催我矫正,这次后可算再也不用听他们的唠叨了”李先生笑着说道。
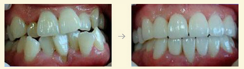
李先生权衡后,考虑到美观与方便,选择了隐形矫正。如今用隐形矫正已经三个月了,现在李先生已经交了一个女朋友。牙齿不仅变整齐了,炎症也得到了控制,蛀牙补好后也再也没有犯过了。

李先生隐形矫正三个月后的对比图
隐形矫正 为您全新定制矫正方案
隐形矫正又叫“隐形无托槽矫正”,是牙齿矫正的一种。隐形托槽是通过3D立体电脑技术,量身定制一系列全透明牙套来完成整个矫治疗程的一项技术,完全透明美观的托槽,可以在吃饭时自行摘下,适合对美观有极大要求的人。
全新个性化定制 矫正过程更人性
1.量齿定做,专属个性定制
每一副矫治器都是根据您的即时牙齿数据定制,每一副的更换,都代表着牙齿矫正进行的一个全新阶段。
2.真正隐形,舒适无痛
知道您矫正牙齿的人也很难看出您佩戴了隐形矫治器,隐形矫正是采用国际尖端纳米技术精制而成的。
3.摘戴方便,不影响交际
矫治器可以自行摘戴。与传统固定矫治相比,口腔卫生易于维护,不影响进食、刷牙、社交活动等日常生活。
4.方便省时,复诊次数少
医生按次序分发2—3副牙箍,让您每两星期于家中自行更换新一副牙箍,只需要4—6周复诊一次,降低了复诊频次。
5.方便卫生,干净易清洁
易于摘带,更加容易清洁,给牙齿一个干净卫生的“居住环境”,杜绝了牙损伤和牙周病。
本网站已加密,绝对保证您的隐私安全,就诊前
通过手机预约可免排队等候!